盘蛇疮(带状疱疹),是生活中的常见皮肤病,带状疱疹是由水痘-带状疱疹病毒引起的急性感染性皮肤病。对此病毒无免疫力的儿童被感染后,发生水痘。部分患者被感染后成为带病毒者而不发生症状。和我们小时候的水痘一样,由于疼痛给患者带来了很大的困扰。带状疱疹是由于呼吸道感染有病毒进入体内所引起的。那么带状疱疹都有什么症状表现呢,下面就由西安莲湖天颐堂中医医院权威专家为您总结:

盘蛇疮的症状表现如下:
1、带状疱疹常突然发生,发病前局部皮肤先有灼痛,伴轻度发热、疲倦无力等全身症状。
2、神经痛是带状疱疹的主要特征,多数患者有持续性疼痛,往往在皮疹痊愈后疼痛仍不消失。
3、带状疱疹常发于胸背部“肋间神经”、头面部“三叉神经”、“腰骶神经”等部位,并伴有局部淋巴肿大。
4、带状疱疹分布一般不超过人体中线,明显地终止在中线,绝无蔓延至对侧可能。
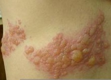
5、发病区皮肤丘疹呈带状排列,沿一侧周围神经节分布区出现,继而在红斑上生成簇状米米粒至绿豆大小的丘疱疹,并迅速变为水疱,渐渐变为血疱乃至脓疱,最后覆盖有坏死性痂皮。
6、带状疱疹发病前驱症状表现为,沿发病部位神经干周围约持续三日疼痛,及所属部位的淋巴结肿胀疼痛。
7、患者因有白血病、淋巴瘤而抵抗力降低时,皮疹则不仅局部性,可呈散在性水疱,类似因水痘散发在四肢或躯干。
8、本病在十五岁以下儿童极为少见,大半数患者年龄超过45岁。、
温馨提示:以上就是西安莲湖天颐堂中医医院专家对“盘蛇疮的症状表现”的简单介绍,大家对此病的症状表现都了解了吧。如果还想了解更多关于“盘蛇疮”的知识,可以在线咨询我们的专家。祝患者们早日康复。
咨询热线:029-86271733
医院地址:西安市莲湖区自强西路110号
乘车路线:2、9、107、202、k202、k208、262、718路公交车,自强小区车站东隔壁
上一篇:疮疡的病因病机是什么?
下一篇:褥疮得了如何治疗
中医特色实力雄厚 值得信赖